История Юлии

Установка постоянных керамических эстетических конструкций для пациента
«Окружающие люди часто говорят мне: ничего себе, какая у вас улыбка! Результатом я безумно довольна, кажется, это даже лучше, чем я представляла»
Лечащие врачи:
Пола Павел Андреевич
1 этап
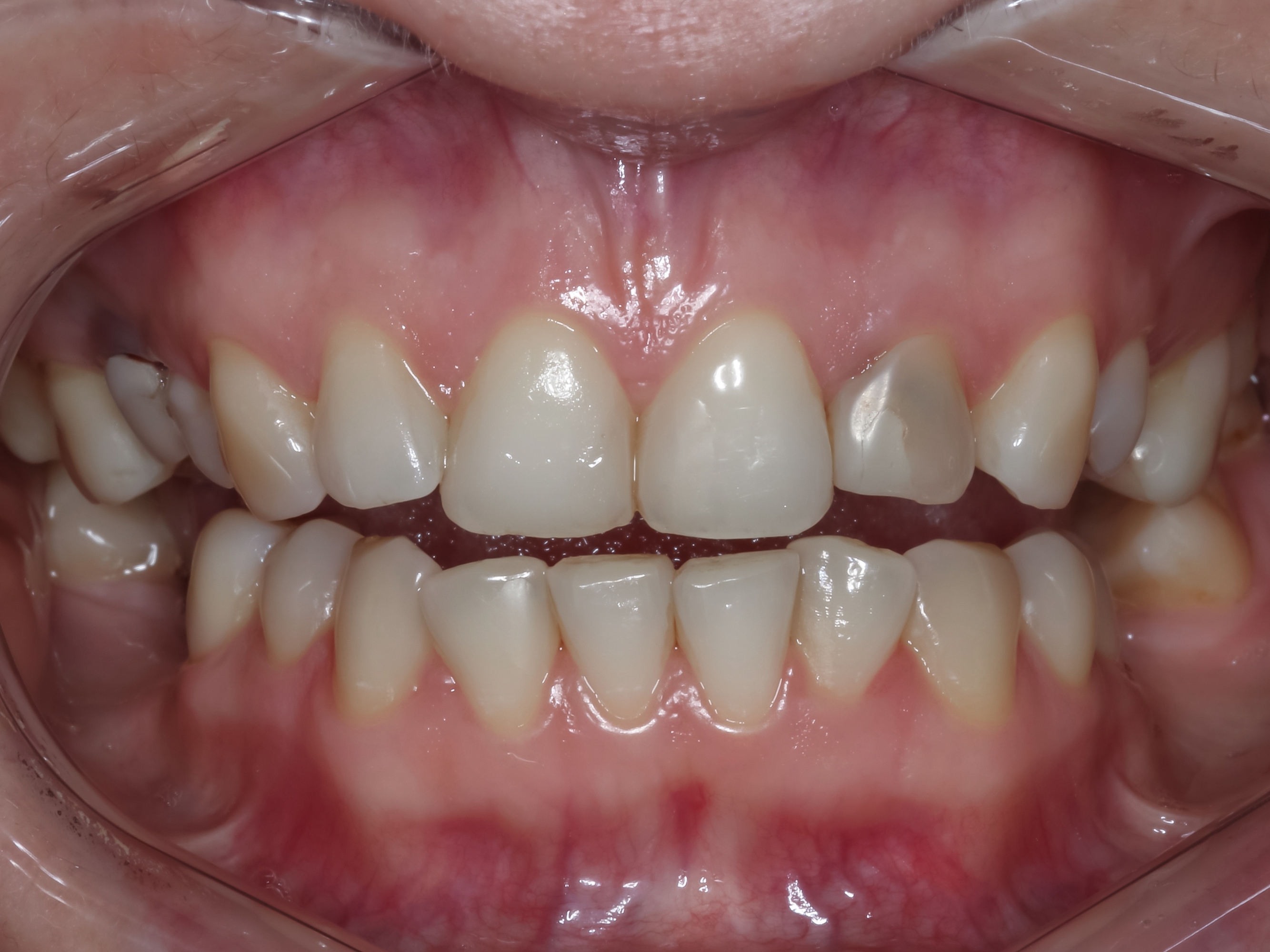
До лечения
Юлия пришла к нам в клинику по рекомендации подруги. Больше всего беспокоил темный зуб спереди, скованная улыбка и неровные зубы. При этом были трудности с пережевыванием пищи из-за отсутствия нескольких жевательных зубов, которые удалили раньше
2 этап
Ортодонтическое лечение
Для пациентки мы разработали комплексный план лечения: сначала была проведена ортодонтическая подготовка с использованием прозрачных элайнеров, после чего восстановлены отсутствующие жевательные зубы с помощью имплантатов и выполнена пластика десны
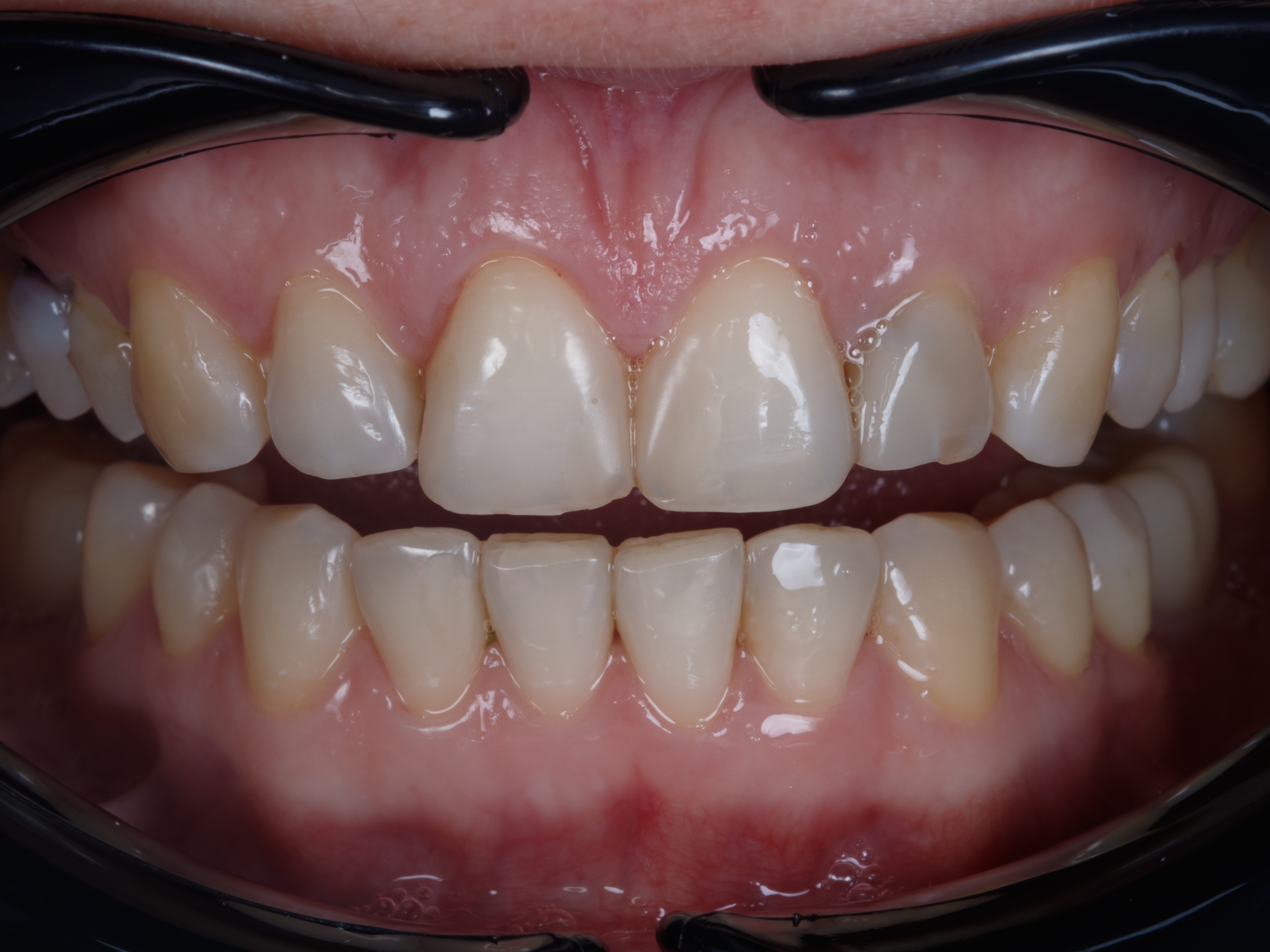
3 этап
Макет
После восстановления зубного ряда мы перешли к эстетике улыбки - скорректировали цвет и форму зубов, чтобы добиться естественного светлого оттенка и более гармоничных пропорций. Предварительно изготовили макет будущей улыбки: это позволило “примерить” новую форму и точно подобрать цвет до установки постоянных керамических конструкций - виниров и коронок. Убедившись, что результат полностью устраивает пациентку, мы приступили к финальному этапу лечения
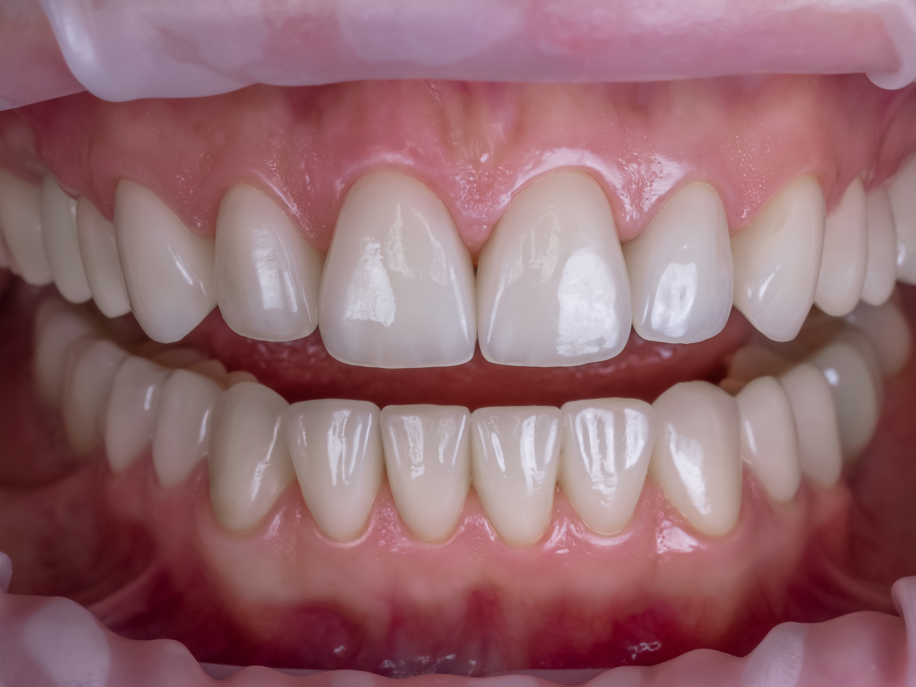
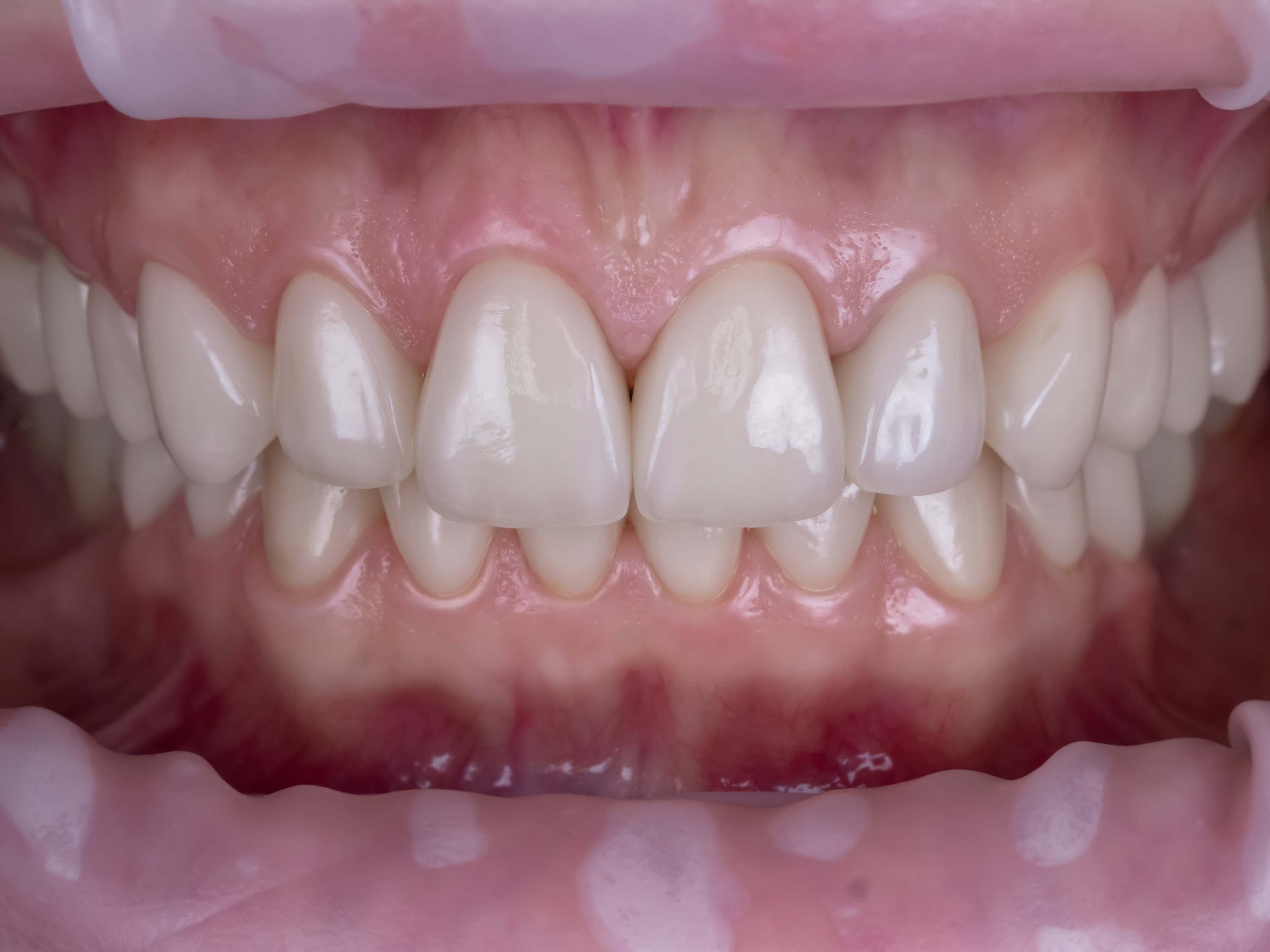
4 этап
после лечения
В лаборатории мы изготовили 28 керамических реставраций, точно подобранных по форме и оттенку. После примерки конструкции были надежно зафиксированы на заранее подготовленных зубах. Улыбка полностью преобразилась: стала ровной, светлой и гармоничной. Исчезли тёмные участки и скованность - появилась лёгкость, уверенность и желание улыбаться чаще
Интервью после лечения

Лечащие врачи
Все врачиДругие работы
Все работы
Доверьте свою улыбку профессионалам!



















