История Натальи

Лечащие врачи:
Пола Павел Андреевич
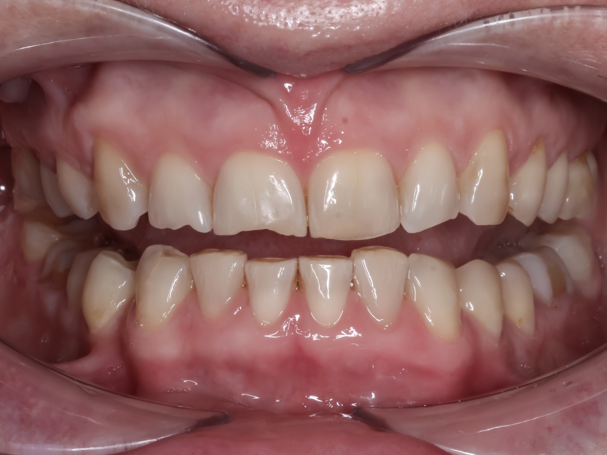
1 этап
До лечения
2 этап
Ортодонтическое лечение
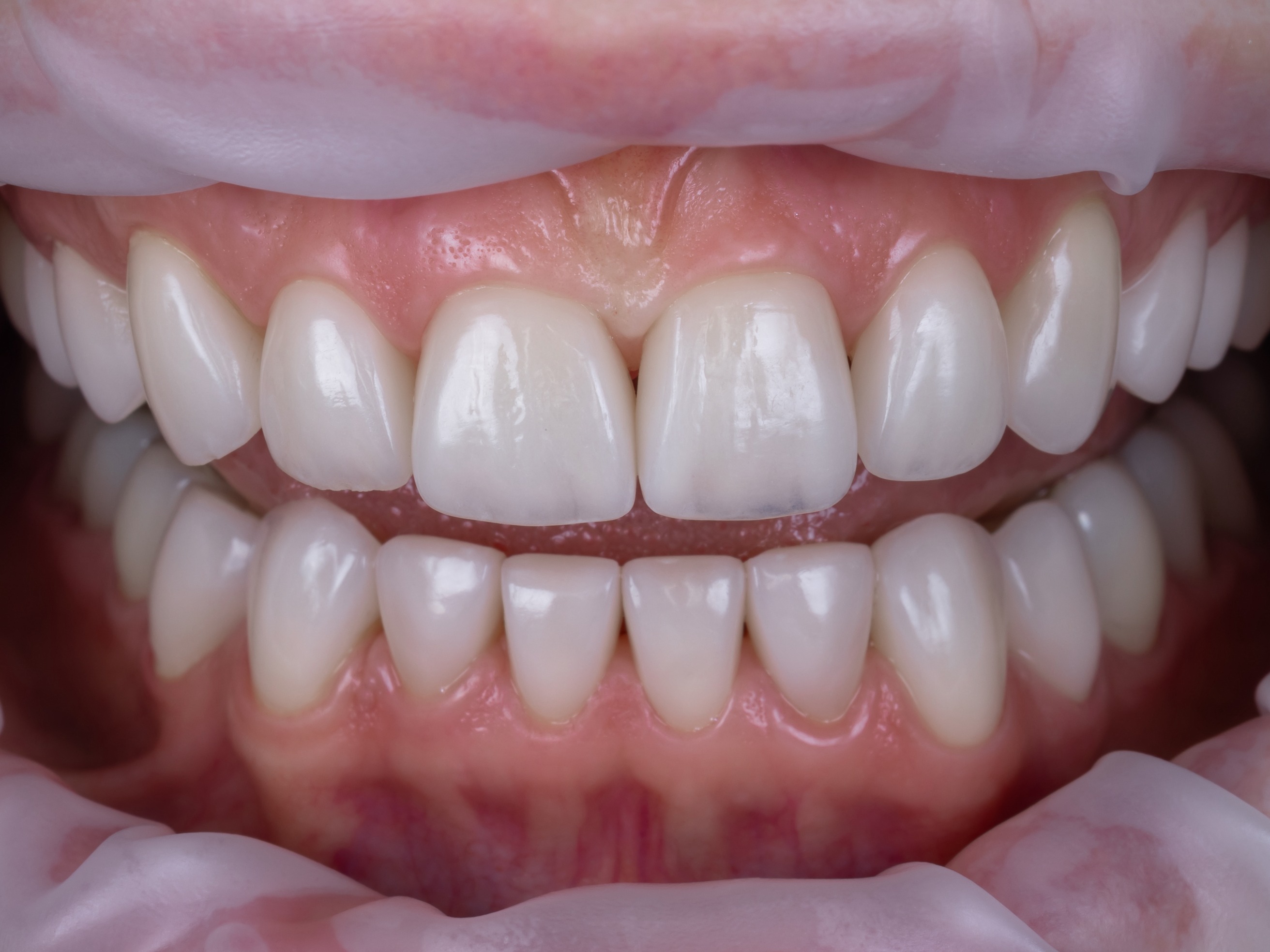
3 этап
После лечения
Лечащие врачи
Все врачиДругие работы
Все работы
Доверьте свою улыбку профессионалам!

Лечащие врачи:
Пола Павел Андреевич
1 этап
До лечения
2 этап
Ортодонтическое лечение
3 этап
После лечения
Лечащие врачи
Все врачиДругие работы
Все работы
Доверьте свою улыбку профессионалам!