Александр Г.
03.06.2025
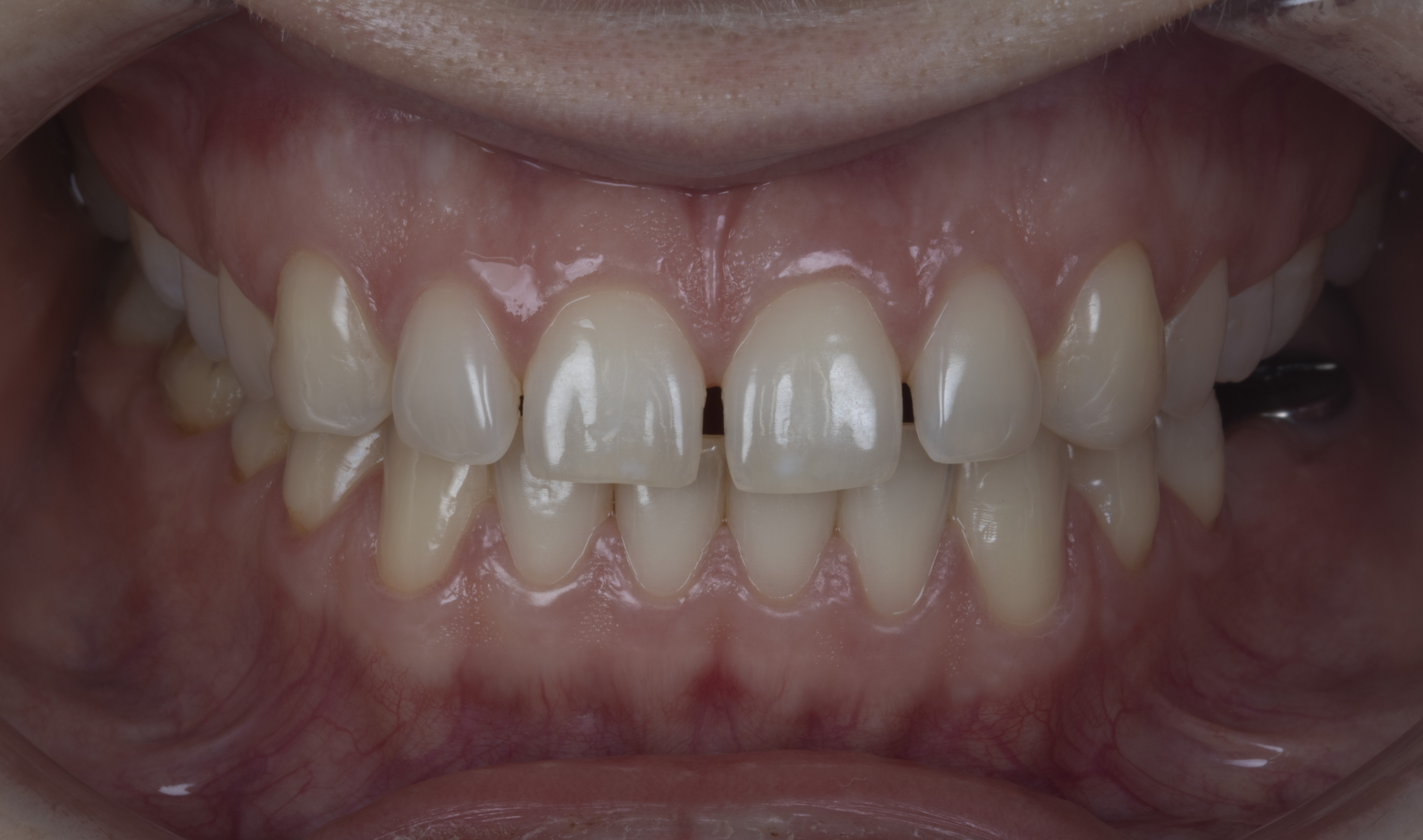
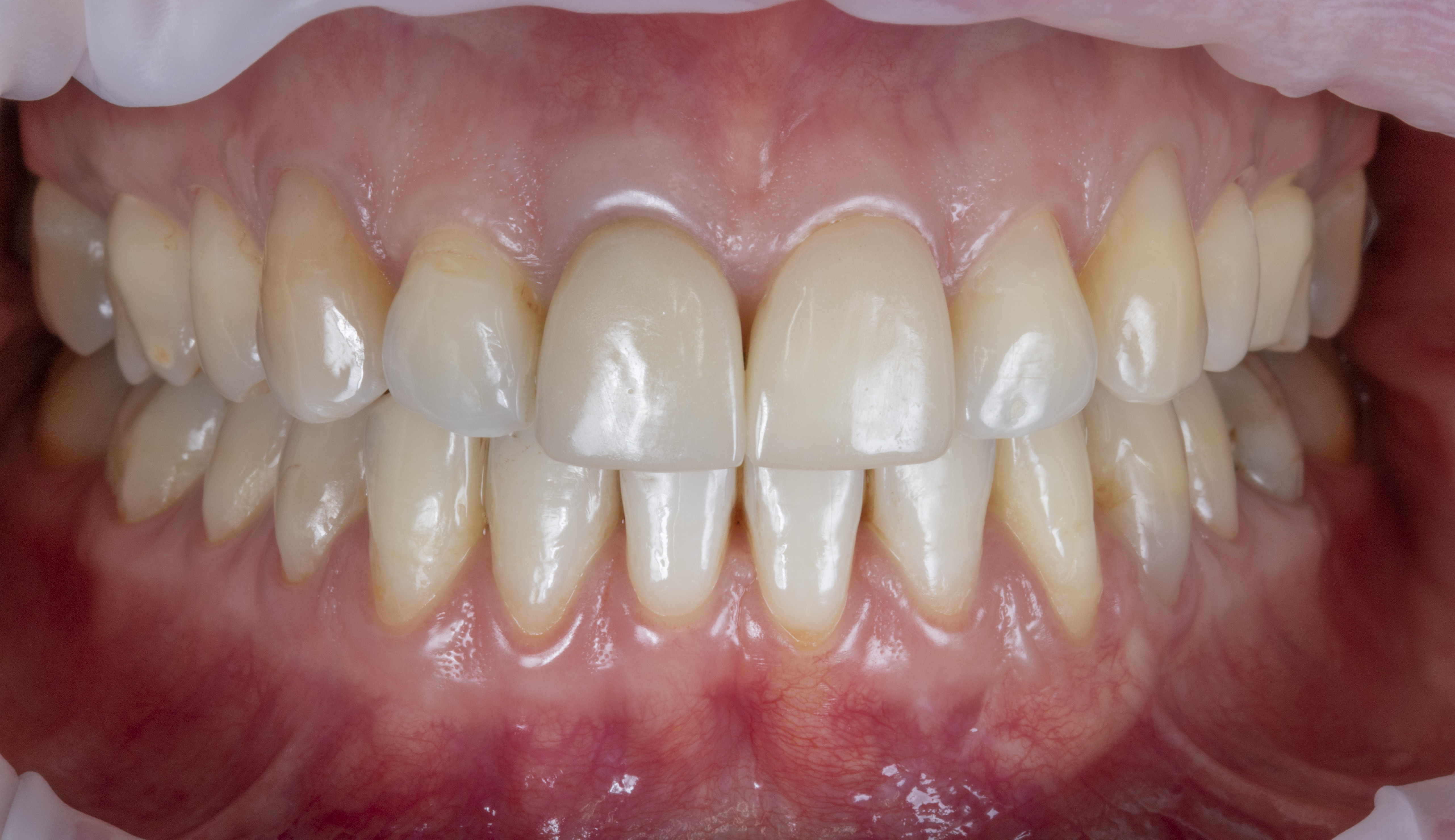
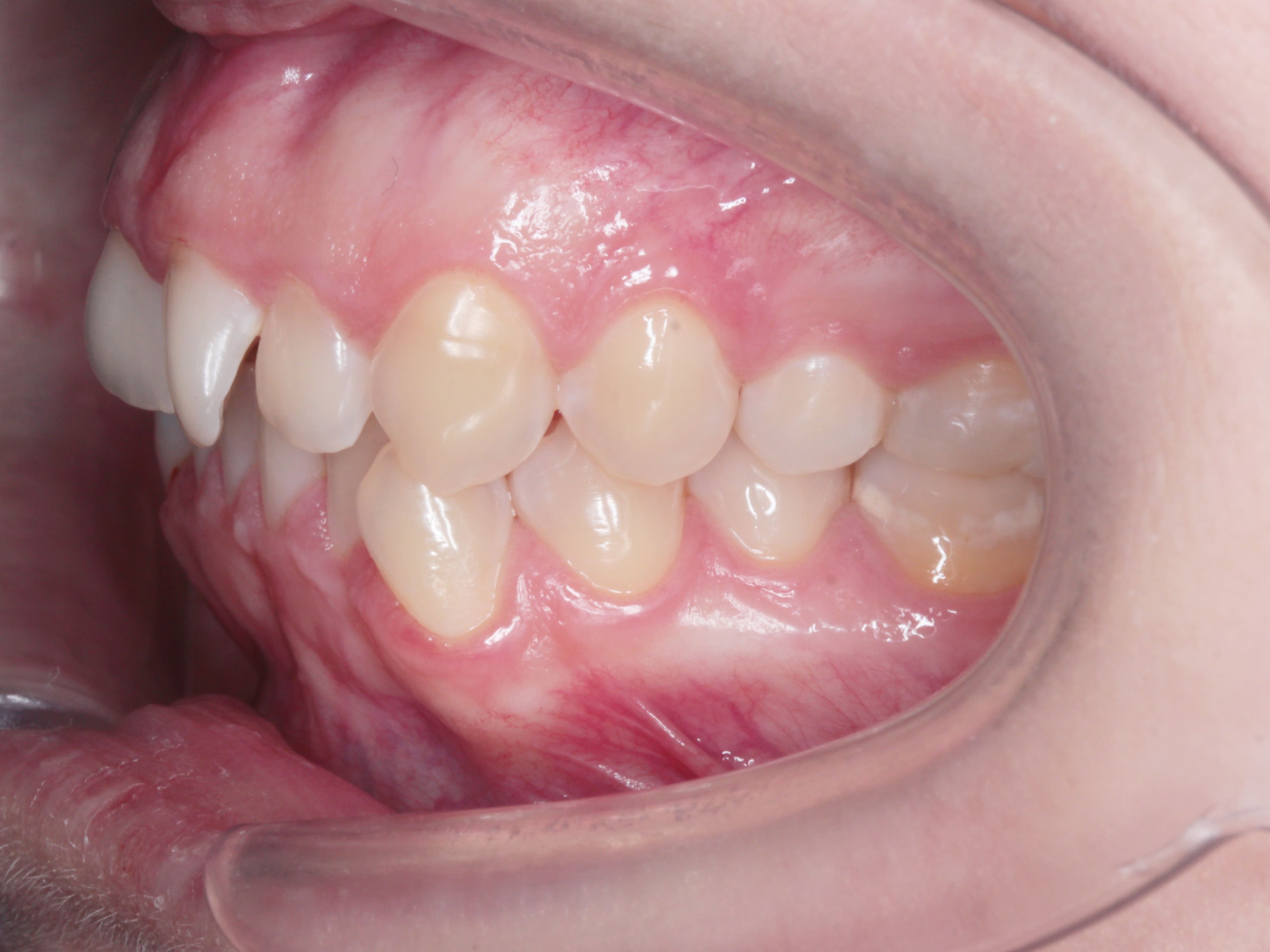
Лучшей стоматологической клиники я ещё не встречал, хотя с зубами ходил каждый год в разные клиники и это моя больная тема! А в клиники Павла Поло все очень слажено, очень отзывчивый и чуткий персонал. Персонал это отдельная история, профессионалы своего дела, горят профессией и постоянно обучаются. Отдельно хочется сказать спасибо руководству клиники, в частности Павлу, что собрал такой коллектив, идеолог своей профессии, обучается сам и обучает персонал. Меня за все длительное время лечили трое разных сотрудников Андрей, Александр и Анастасия (каждый в своей сфере), и я с ними всегда расслаблен, даже несколько раз засыпал при работе над моими зубами! Это впервые в моей жизни! Я очень доволен качеством, отношением к себе, что доверяю этой клинике на 200%. Если будете меня читать, хочу сказать вам всем огромное спасибо!

















