Белоусова
Жалобы
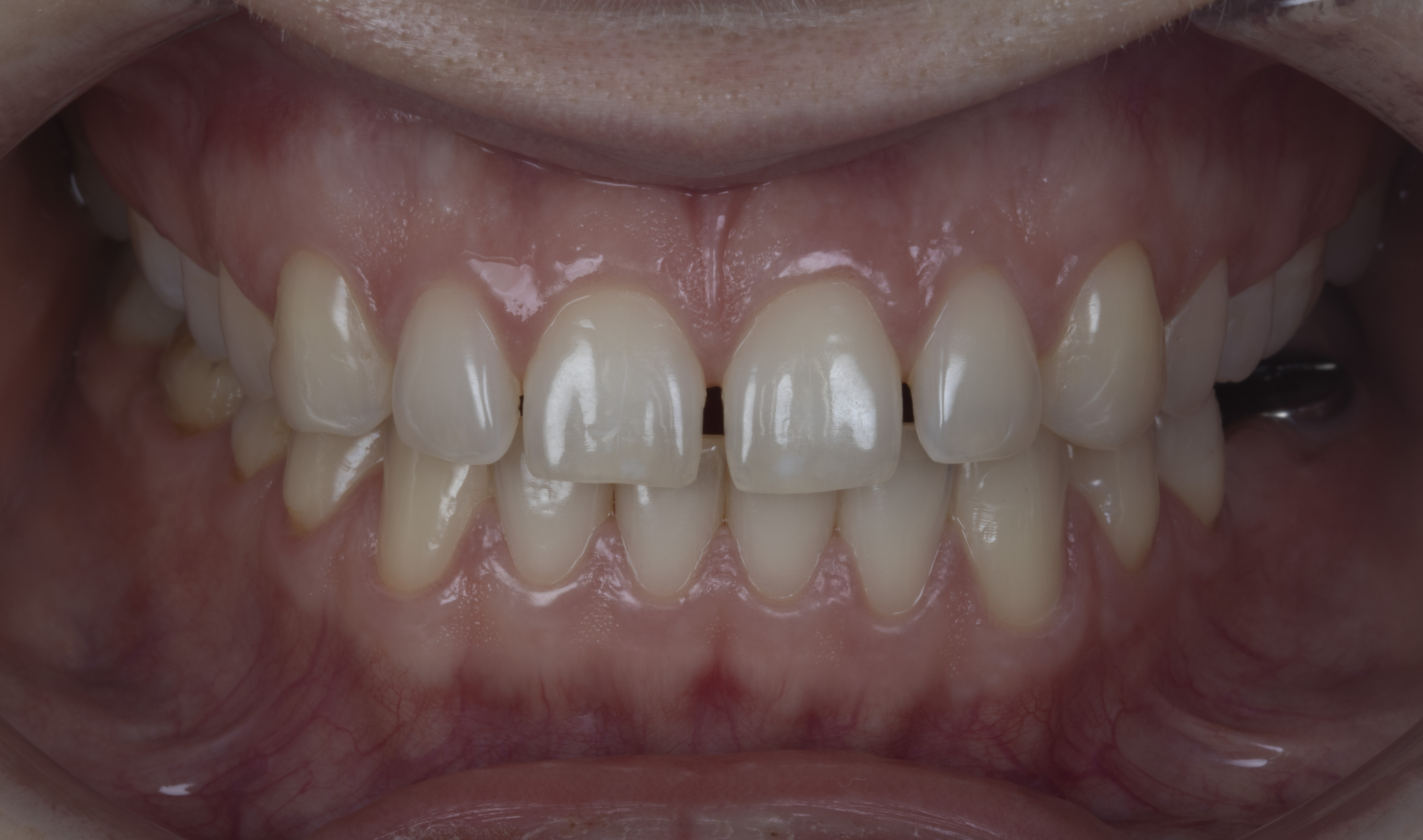
Пациентка обратилась с жалобами на эстетику улыбки.
После проведенного ортодонтического лечения между зубами оставались небольшие расстояния,которые предполагалось закрыть для достижения естественного вида зубов.
Результат Работы
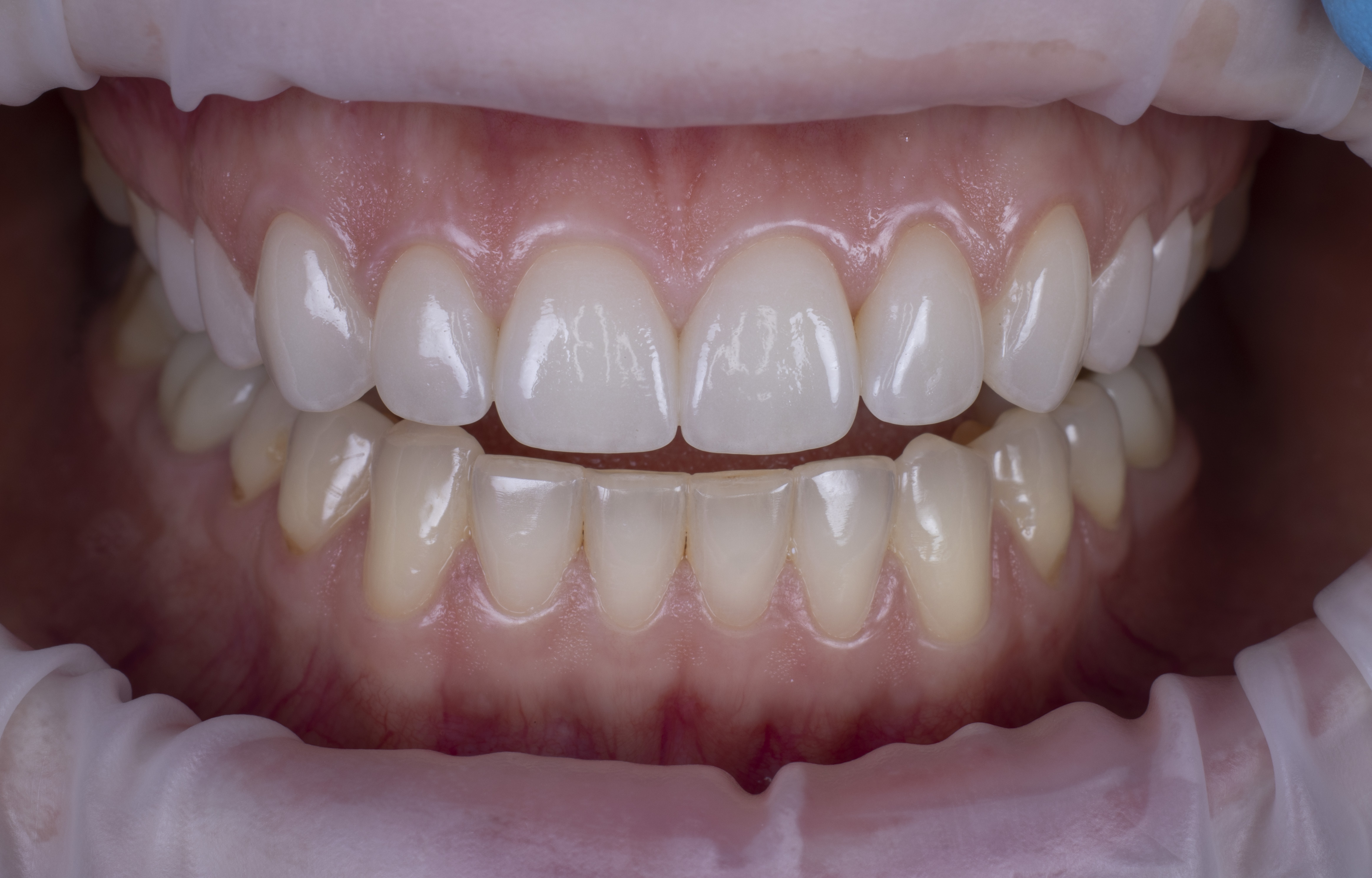
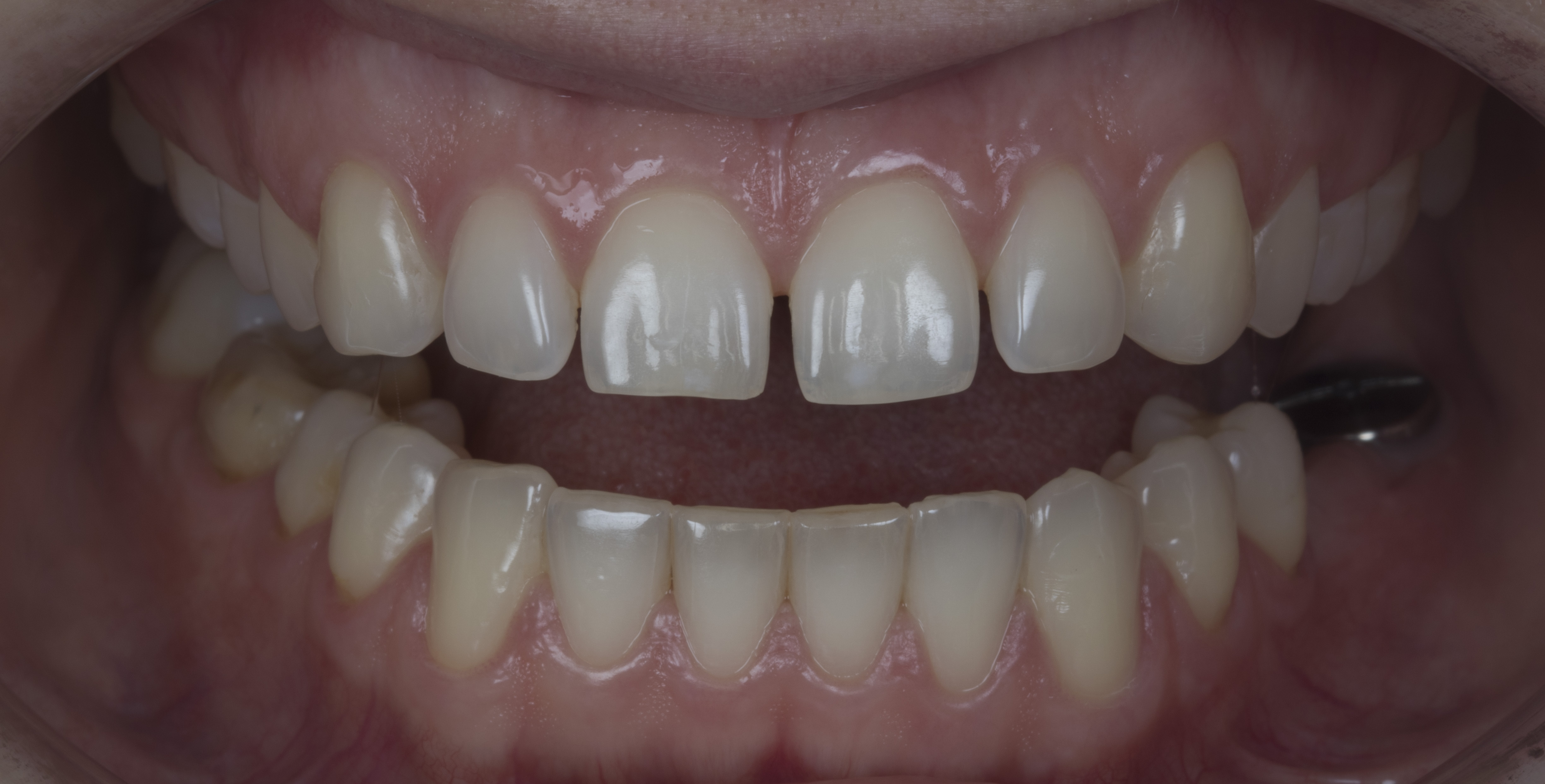
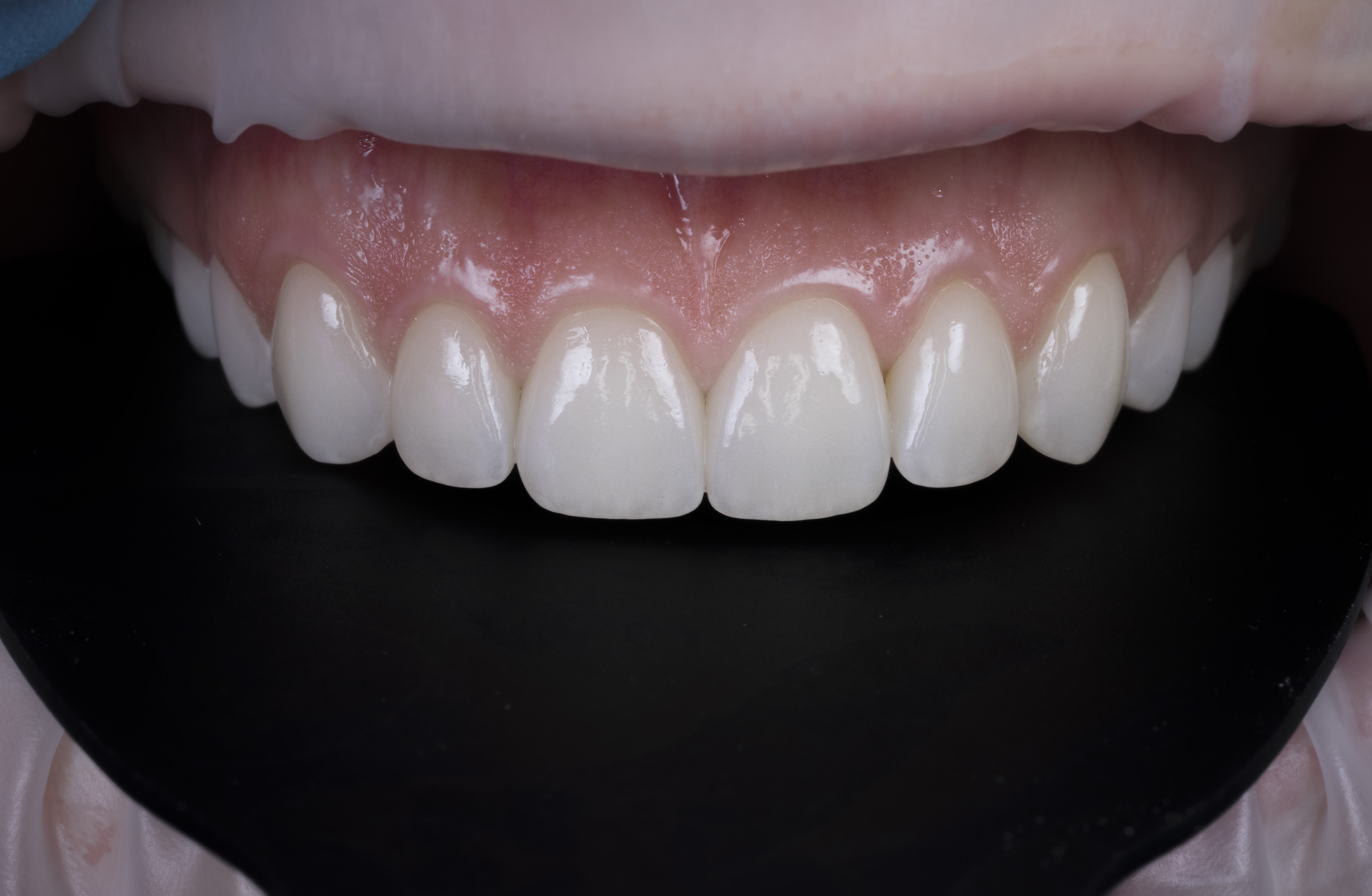
После проведенного анализа было принято решение улучшить эстетику улыбки керамическими винирами в количестве десяти штук. Тщательное планирование позволило реализовать план с минимальным воздействием на зубы,были установлены виниры толщиной 0,2 мм
Что Мы Сделали
Пациентка полностью удовлетворена результатом,для нас это вдвойне приятно,так как она является врачом - стоматологом ортодонтом

Доверьте свою улыбку профессионалам!
Просто заполните форму, мы свяжемся с вами и запишем вас в удобное время
Нажимая на кнопку, вы даете согласие на обработку персональных данных и соглашаетесь с Политикой в отношении обработки персональных данных







