Авдеева
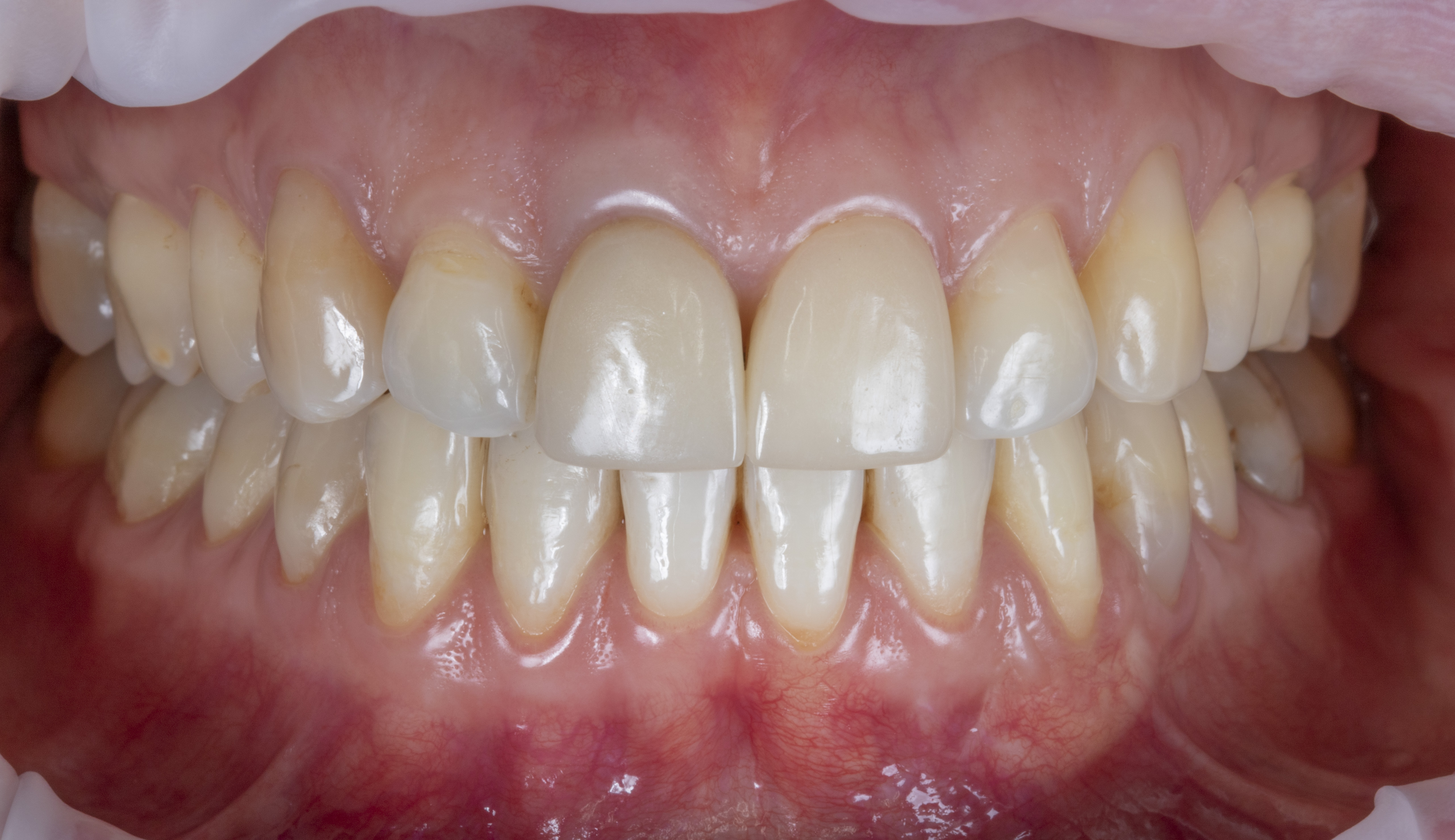
Жалобы
Пациентка обратилась с запросом на комплексную эстетико-функциональную реабилитацию керамическими реставрациями. Ортодонтическое лечение проходила ранее в другой клинике. Жалобы на момент обращения – неудобство жевания, невозможность удобно сомкнуть зубы в повторяемое положение, неудовлетворительная эстетика зубов и улыбки.
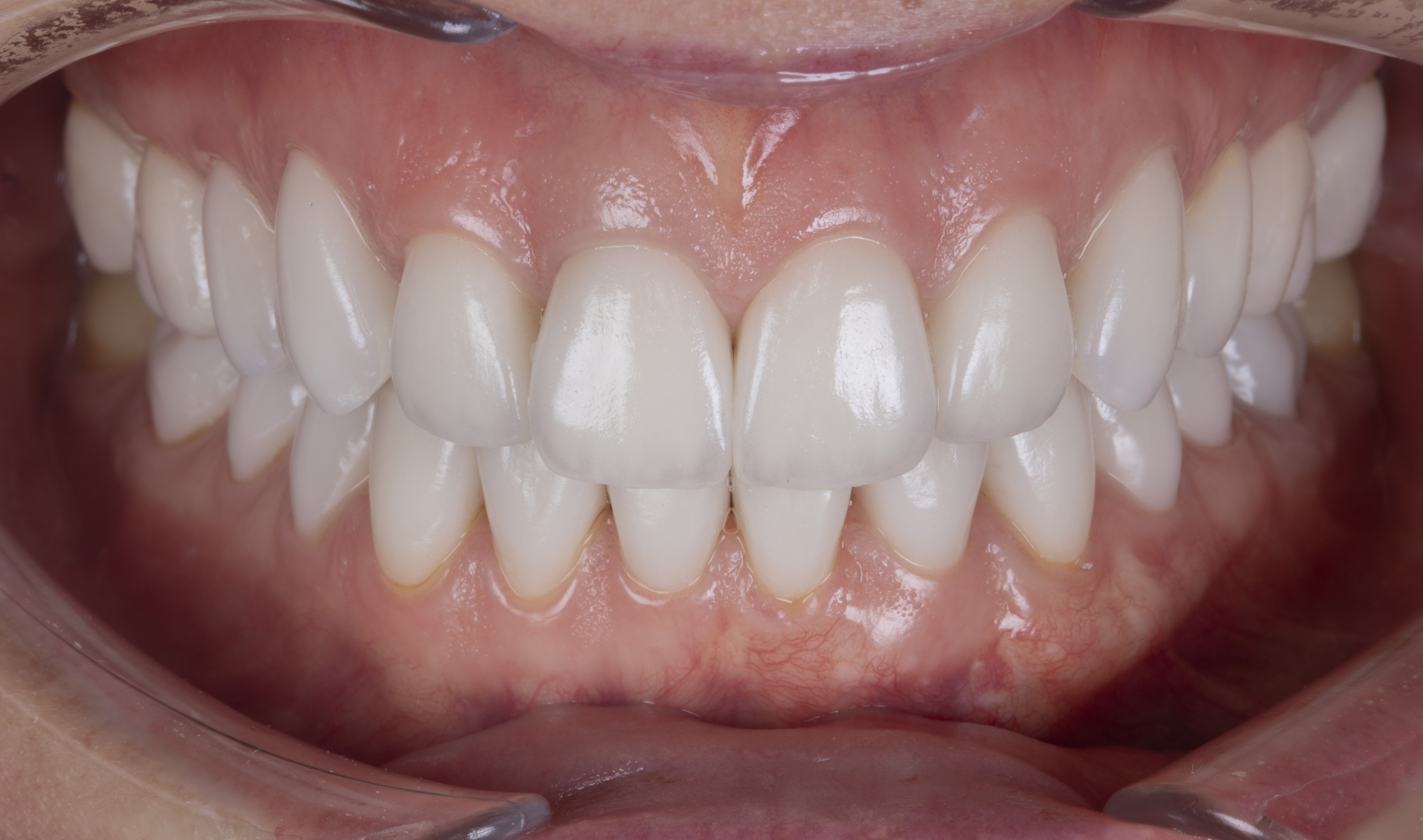
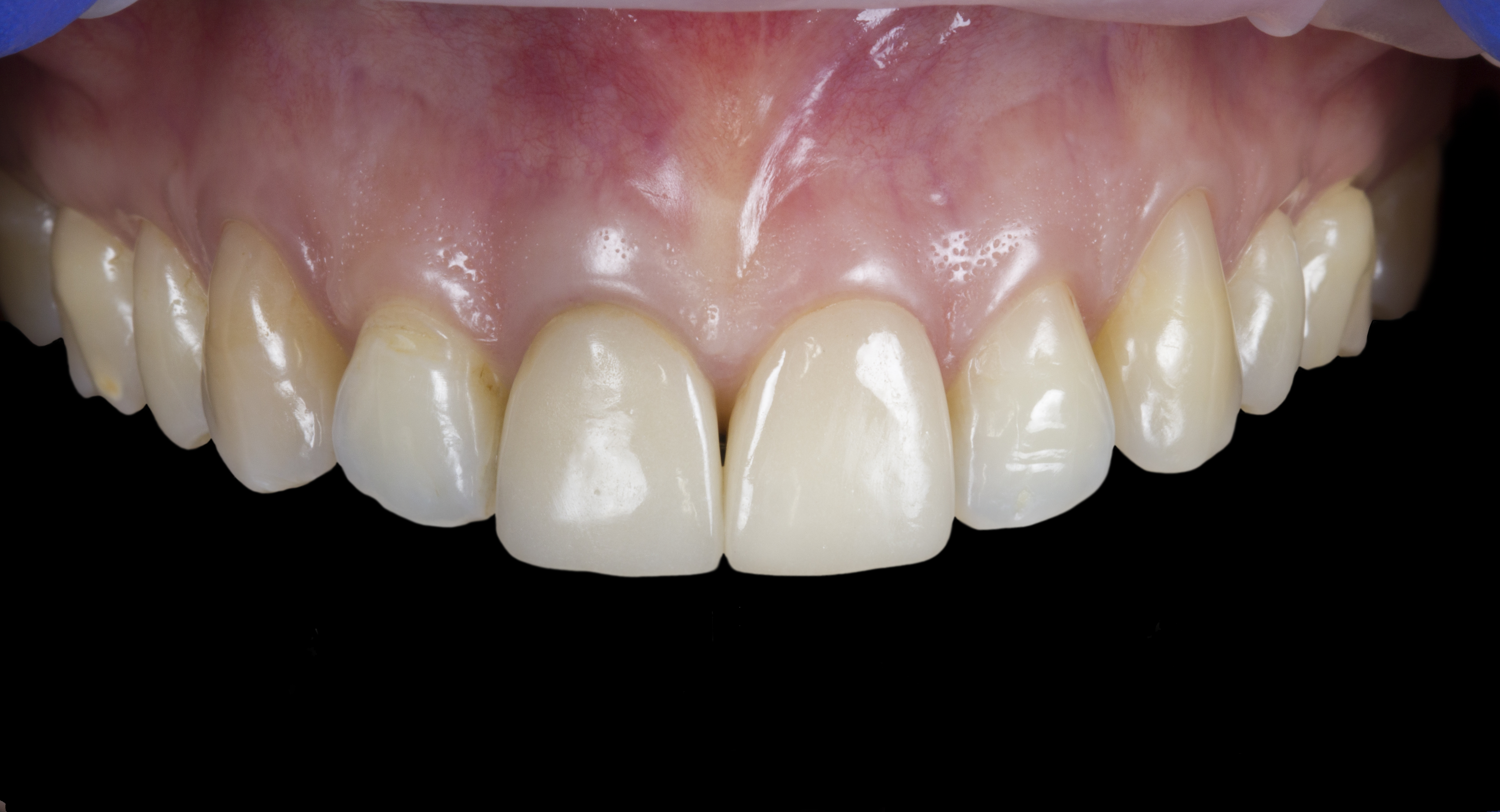
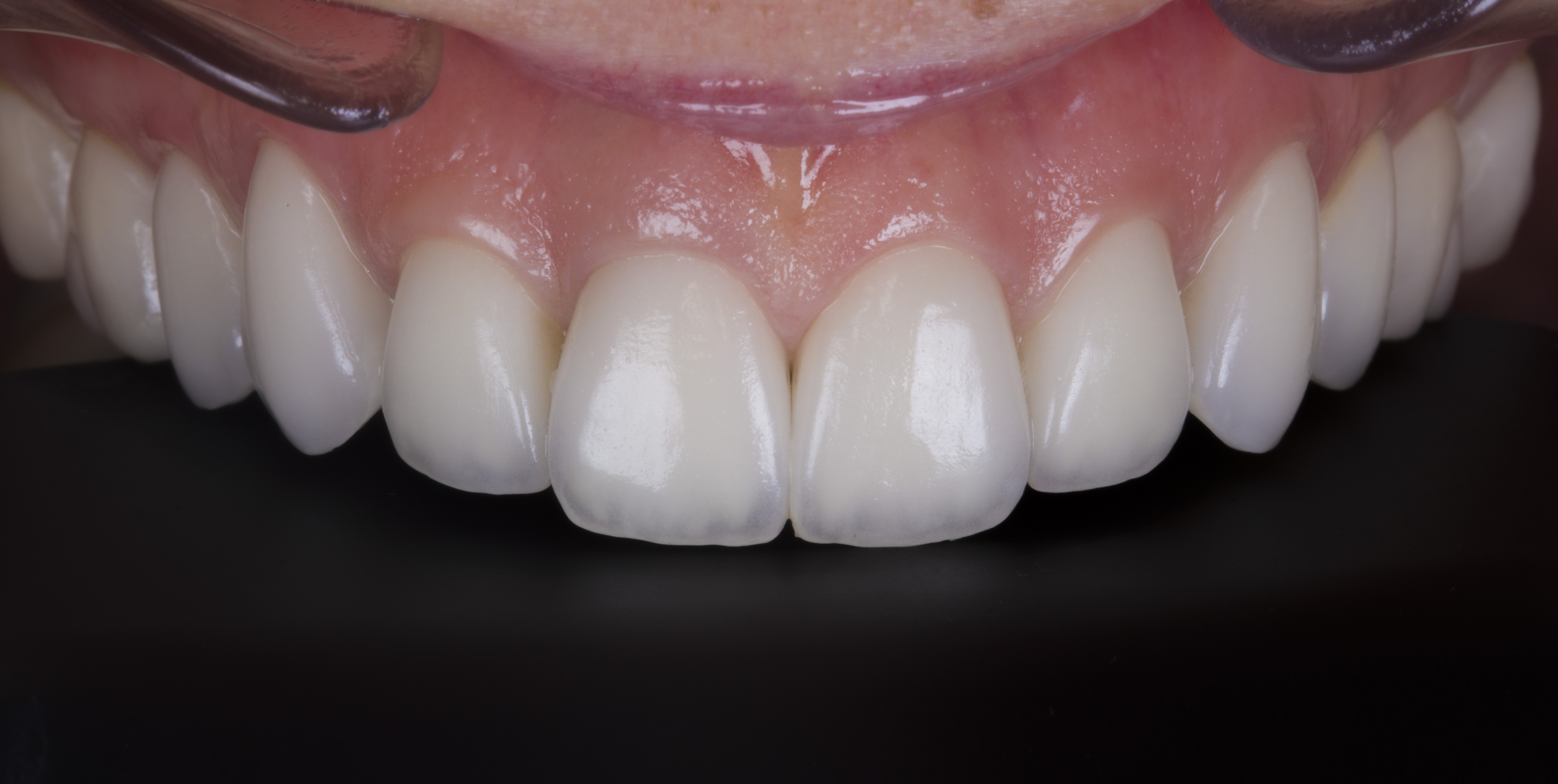
Результат Работы
Была проведена диагностика, изготовлен и адаптирован предварительный макет будущих зубов, временные и постоянные реставрации из керамики.
Что Мы Сделали
Пациентка полностью удовлетворена результатом работы, отмечает улучшение жевания и отличную эстетику улыбки. Работа выполнена в 2021 году.

Доверьте свою улыбку профессионалам!
Просто заполните форму, мы свяжемся с вами и запишем вас в удобное время
Нажимая на кнопку, вы даете согласие на обработку персональных данных и соглашаетесь с Политикой в отношении обработки персональных данных








